Restorative Dentistry
- Crowns and Bridges
- Tooth coloured restorations
- Complete and partial dentures
- Root canal treatment
Crowns and Bridges


A bridge spans the gap left by a missing tooth, anchoring a replacement tooth to either one or two existing teeth on each side of the gap.
Fixed (non-removable) bridges are usually the first choice for patients, along with porcelain crowns for replacement teeth. The porcelain is translucent, just like natural teeth.
Whether you want to replace one tooth or many, crowns and bridges will keep your smile looking great!
Tooth coloured restorations

Composite resin fillings are the most common alternative to dental amalgam. They are sometimes called “tooth-colored” or “white” fillings because of their color. Composite resin fillings are made of a type of plastic (an acrylic resin) reinforced with powdered glass. The color (shade) of composite resins can be customized to closely match surrounding teeth.
- Blend in with surrounding teeth
- Require minimal removal of healthy tooth structure for placement
- Composite Resins are used regularly for cosmetic procedures too

- Gaps between the front teeth( MidlineDiastema)
- Chipped, fractured teeth.
- Minimally altering the dimensions of the teeth
- Composite material have a number of advantages They can be bonded directly to the tooth, without any cutting of the tooth enamel or dentine.
- The colour is matched to that of the tooth so that the restoration completely blends in giving a very natural appearance.
- The treatment is completed in a single appointment, so the patient can walk out with a new and improved smile!
- Midline Diastema corrected with composite resin material
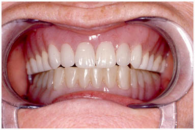
Complete And Partial Dentures
Dentures, also known as false teeth, are prosthetic devices constructed to replace missing teeth.
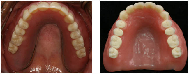
A Set Of Complete Dentures in Patients mouth.
Complete dentures replace all of the teeth, while partial dentures fill in the spaces created by missing teeth and prevent other teeth from shifting position.
Our dentist educate patients thatNew denture wearers need time to get accustomed to their new "teeth," because even the best-fitting dentures will feel awkward at first. While most patients can begin to speak normally within a few hours, many patients report discomfort with eating for several days to a few weeks. To get accustomed to chewing with a new denture, start with soft, easy-to-chew foods. In addition, denture wearers often notice a slight change in facial appearance, increased salivary flow or minor irritation or discomfort.
Dentist may prescribe Denture adhesives especially for the first-time denture wearer. Adhesives may improve the retention and stability of dentures for those with minimal bone support or small ridges. Stability of the denture will help the wearer's confidence.
Our dentist tell the paitents to Remove and brush the denture daily with a denture cleanser and a brush (one specifically designed for cleaning dentures or a soft toothbrush).
Avoid using boiling water to sterilize the denture, because hot water can cause the denture to lose its shape.
If you wear a partial denture, remove it before brushing your natural teeth.
When you're not wearing the denture, soak it in denture cleanser or water.
To avoid misplacing your denture, store it in the same place after removal.
Our dentist in Vadodara considered best to remove it at night and soak the denture in cleansing solution or water. Research has shown that removing the denture for at least eight hours during either the day or night allows the gum tissue to rest and allows normal stimulation and cleansing by the tongue and saliva. This promotes better long-term health of the gums.

- Conventional Acrylic Complete Dentures
- Over Dentures
- Implant supported Over Dentures
- Implant retained fixed Dentures
- Partial Dentures
- Conventional Complete Dentures
- Overdentures Anoverdenture looks like a complete denture (CD) ; but unlike a complete denture, not all of the teeth are removed. The abutment teeth provide support for the overdenture


Implant Prosthesis vs. Conventional Denture
An implant-supported denture is used when a person doesn't have any teeth in the jaw, but has enough bone in the jaw to support implants. An implant-supported denture has special attachments that snap onto attachments on the implants.Implant Prosthesis vs. Conventional Denture

Your implant-supported denture will be more stable than a regular denture. You will find it easier to speak and you won't have to worry about the denture becoming loose or falling out of your mouth. You generally will be able to eat foods you could not eat before. However, you will not be able to chew hard or sticky foods because they can damage the denture. If you have an implant-supported denture in your upper jaw, it will feel more natural than a regular denture because the denture will no longer cover the roof of your mouth.

A "denture-like" implant prosthesis that is not removable, by the patient, but is removable by the dentist if needed for maintenance purposes. The prosthesis is secured to the implants with screws, and the holes are filled with tooth colored material (as seen in the photo on the left). This particular design is only indicated for certain situations, where all of the esthetic and functional goals are able to be met An implant-supported denture is used when a person doesn't have any teeth in the jaw, but has enough bone in the jaw to support implants.
An implant-supported denture has special attachments that snap onto attachments on the implants.
If you have one or more teeth missing, you may have an option of using a removable denture to replace them. A removable partial denture can be made of acrylic (plastic like material) or a combination of acrylic with metallic framework Depending on each clinical situation 3 types of Partial Dentures are possible.
These are recommended in certain specific situations and are very comfortable to insert, wear and remove by the patient.
The Valplast partial is virtually invisible because there are no telltale metal clasps and the material itself blends with the tissue in your mouth so that the only thing that shows is your beautiful smile.
When considering a removable partial, many people find the Valplast Flexible Partial to be the most comfortable option, and the final restoration can be made very quickly! While the cost is often higher than a partial made with visible metal clasps, the results of the flexible partial are beautiful, and patient satisfaction is very high. The Valplast flexible partial involves only non-invasive procedures, and gives you confidence in your restoration while talking, eating, and most importantly: smiling!

Removable Partial Dentures with cast metal frameworks offer numerous advantages over the conventional partial dentures commonly used. The frameworks of these dentures are cast to fit the teeth. Since they sit on the teeth, as well as being attached to them, they are extremely stable and retentive. The teeth have to be altered slightly beforehand in order that the partial denture can rest upon them without interfering with the way the patient bites the teeth together. Cast Partial Dentures The metal framework does not contact the gums. Thus, as the gums resorb, this type of partial denture does not sink with them and rarely requires relining.

- 1.The clasps are placed on prepared seats on the tooth, hence they are less likely to be seen than the wrought wire clasps of the conventional treatment partial denture.
- 2. Modern frameworks are cast from an extremely strong alloy called chrome cobalt which can be cast very thin and are much less likely to break than the all plastic variety.
- 3.They are also much less noticeable to the tongue.
- 4.The largest single advantage that cast metal framework partial dentures have over the other types of partials is that sore spots are almost never an issue since neither the framework, nor the plastic extensions contact the soft oral tissues with any force!
Patients who exhibit the symptoms of TMJ, or who are known bruxers are much better off with cast metal partials than with flexible framework partials

This removable partial denture usually consists of replacement teeth set in pink or gum colored acrylic resin. One or more wire clasps are placed around the natural teeth to assist in retention of the partial denture.

Root Canal Treatment
Decay if left untreated progresses and destroys tooth structure eventually reaching the pulp ,which contains many nerves and blood vessels and the tooth gets infected. The infection travels through the pulp and reaches the bone. This may result in an abscess,swelling,inflammation or pain.
- Typical symptoms
- Spontaneous pain at night
- Discoloured tooth
- Sensitivity to hot or cold
- Increased pain on lying down
- Sometimes there may be no symptoms even though there is a large cavity

Intra-oral digital X-rays are taken of the offending tooth by our Dentists. Local Anaesthesia is given to numb the tooth so that the procedure is painless. (At Batra Dental Clinic & Implant Center, dentists use a topical anaesthetic before giving anaesthesia so that the procedure is as painless as possible)
The decayed part of the tooth is removed and the root canals are opened to allow for the cleaning.
Cleaning of the root canals. This is done using small instruments called hand files and rotary files with a Rotary Endodontic system.
Filling the internal space with an “inert” root canal filing material and building the tooth to its normal form.
